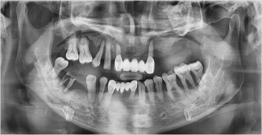
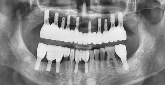
네비게이션 임플란트
0.1mm의 오차도 허용하지 않는 정확함
0.1mm의 오차도 허용하지 않는 정확함
WONHEUNG BON DENTAL CLINIC 1:1 CARE SYSTEM
임플란트의 기둥역할을 하는 어버브먼트는
치아, 잇몸의 모양과 비슷한 것이 좋습니다.
1. 높은 장기 안정성
2. 교합력 분배로 보철물 파절 방지
3. 보철물 회전이나 탈락 방지
4. 자연치와 가장 비슷한 저작력 회복
5. 심미적인 임플란트 결과

통도자기 소재로 치아색과
유사하며 강도가 우수합니다.

강도가 뛰어나며
치아 적합도가 우수합니다.

겉은 도자기 내부는 메탈로 제작되어 티가 나지 않고 강도가 높으며 치면세균막도 쉽게 생기지 않습니다.